海医一附院胸外科成功开展多例精准解剖性肺段切除术
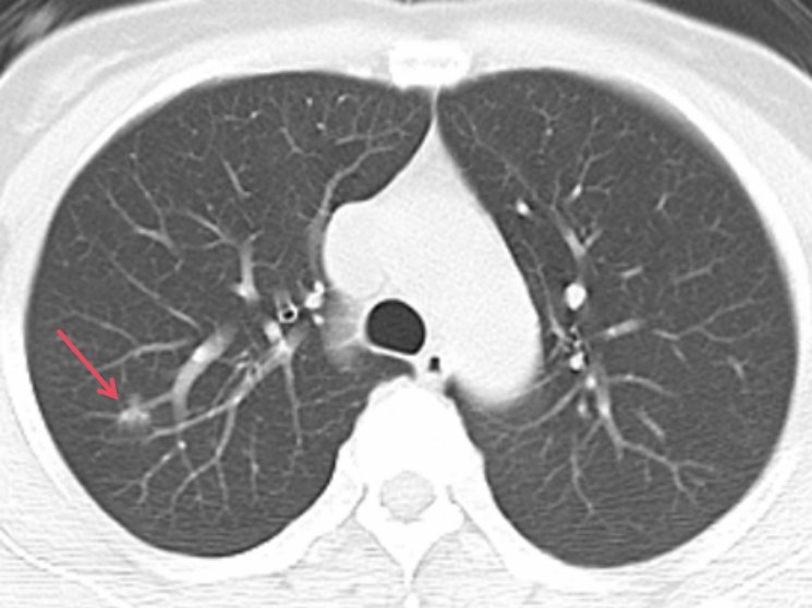
商报全媒体讯(椰网/海拔新闻记者 孙鑫 通讯员 杨树博 赵宏光)随着胸部CT筛查的广泛应用,越来越多的肺磨玻璃样结节被发现。49岁的患者李女士在去年的一次常规体检中,胸部CT扫描发现她的右肺上叶有一个约11mm×10mm的小结节,且该结节呈磨玻璃样改变。医生告诉她,这可能是肺癌的早期迹象——具有生长缓慢,浸润不强,不发生转移,切除后也不会复发等特点。这个消息像晴天霹雳,让李女士陷入了恐慌。

在得知这一消息后,李女士决定前往海南医学院第一附属医院(以下简称:海医一附院)胸外科寻求更专业的治疗。经过一系列详细的检查,胸外科专家赵宏光主任确诊她患的是早期肺癌,并建议采用肺段切除术进行治疗。
目前,国际上认为,肺段切除术是治疗肺磨玻璃样结节的首选术式。然而肺段/亚段切除术技术难度高,一旦定位不准就会切错,产生更大的肺损伤和并发症。所以,该术式在海南地区较少开展。
为了弥补肺段切除和食管手术方面的短板,2023年海医一附院通过省卫健委“好医生”引才项目,从中国科学院大学附属肿瘤医院(浙江省肿瘤医院)引进胸外科专家赵宏光教授担任胸外科主任、学科带头人。赵宏光主任从事胸外科临床工作将近二十年,在肺结节的肺段切除、肺叶切除以及食管癌的微创及开放手术方面经验丰富,精通胸部肿瘤(肺癌、食管癌、纵隔肿瘤等)的诊断、鉴别诊断以及手术治疗。
对李女士的病情,赵宏光主任团队高度重视,在吴毓优主任医师、刘运仲副主任医师的配合下,赵宏光主任精准阅片,分析肺段结构后,决定为其行胸腔镜下右上肺后段切除术。

为什么李女士的肺结节要做肺段切除呢?赵宏光主任介绍说,李女士的肺结节远离肺表面,手术中难以触及,无法行肺楔形切除术,只能行肺段切除术。肺段手术技术要求高,不但需要术前对肺结节进行精准的肺段定位和手术规划,还要求术者具有极强的解剖知识、手术技能和处理手术意外情况的经验,术中也要精细、精准。无论哪一环节出现问题,手术都难以进行。
术前,赵主任团队分析肺段动脉、静脉及支气管,并准确定位结节位置,精准分析切除范围,制定肺段切除计划。术中,由于李女士叶间裂发育不全,给后段切除手术造成了一定阻碍,但赵宏光主任凭借着坚实的解剖知识及高超的手术技巧和丰富的手术经验,清晰地将各个结构分离并离断各支肺段动脉、静脉及支气管,精准地切除右上肺后段。

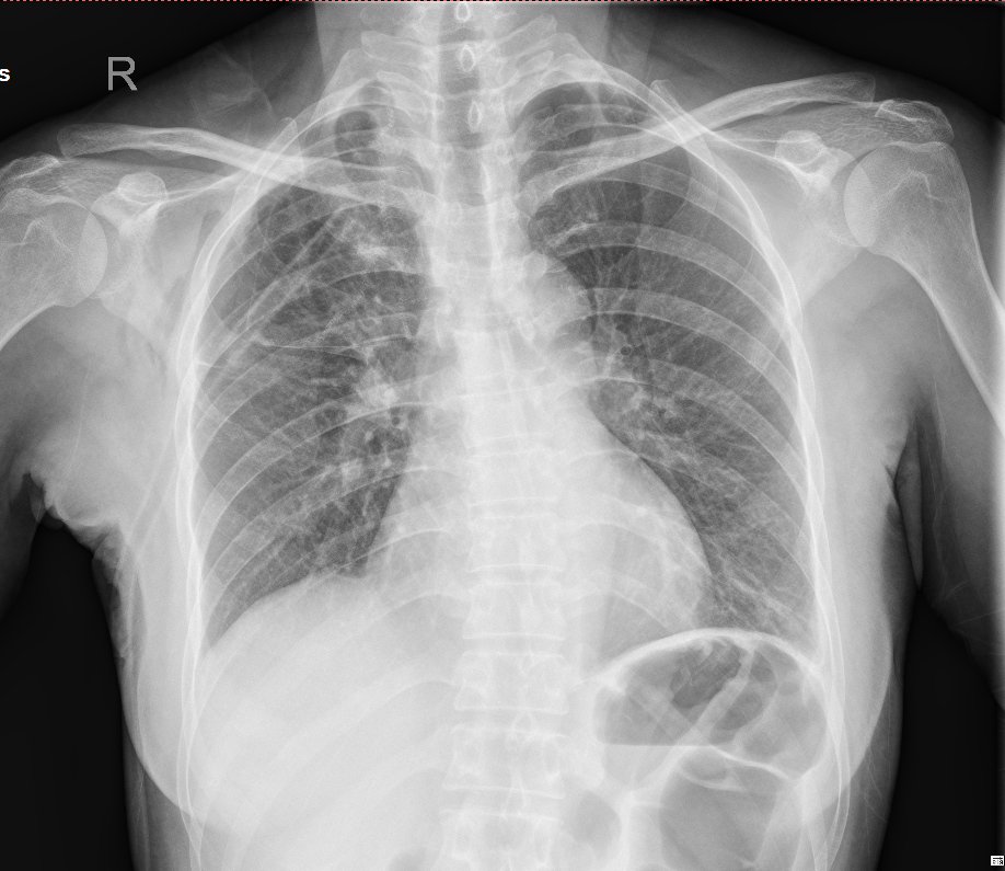
手术过程非常顺利,术后恢复迅速。术后第一天李女士便能下床活动,第二天停用所有药物。而后复查胸片恢复效果良好,拔除胸腔引流管,且手术创伤小,引流少,不漏气,无咳血和并发症状。手术后第四天李女士便顺利出院,她的生活重回正轨。
赵宏光主任提醒肺结节患者,一定要引起重视,千万不可忽视肺结节的诊疗,要找专业医生确立诊疗方案。同时,要加强肺癌危险因素的预防。
据介绍,目前海医一附院胸外科已行多台单孔胸腔镜下解剖性肺段切除术(包括右肺上叶后段、右肺下叶后段+外基底段亚段、左肺上叶前段、左肺上叶尖后段等)。该术式的成功开展,标志着胸外科手术上升到一个新台阶,技术水平达到国内先进、省内领先水平。
“精准解剖性肺段切除术是一种先进的手术方式,它通过最小的创伤,达到最大的治疗效果。”赵宏光主任:“对于早期肺癌患者来说,这种手术方式不仅能够有效切除病变组织,而且能够最大限度地保留肺功能,提高患者的生活质量。”
【责任编辑:李彦昆】
【内容审核:孙令卫】
版权声明:国际旅游岛商报全媒体文字、图片、视频、音频等版权作品,欢迎转发,但非经本报书面授权同意,严禁包括但不限于转载或改编、引用等,违者必追究法律责任。