女子6年两度患上腹腔巨瘤 海医一附院多学科联手精准摘除
商报全媒体讯(椰网/海拔新闻记者 孙鑫 通讯员 常江 宋奇锋)2023年底,海南省医学院第一附属医院肝胆胰外科收治了一位特殊的患者。之所以说“特殊”,是因为该患者陈女士在6年前就曾因腹腔巨大肿瘤于该院就诊。
据了解,当时该院“人才引进专家”高良辉主任通过手术治疗根治切除了患者肿瘤,术后肿瘤病理提示:梭形细胞瘤,危险度高。结合病理诊断与患者情况,高良辉主任为陈女士制定了建议长期口服伊马替尼,并定期复查的后续治疗方案。六年来,陈女士一直坚持在该院定期复查,病情相对稳定。
然而,最近陈女士却突然焦急地来到医院找高良辉主任看诊。经高良辉主任详细问诊得知,原来陈女士家庭并不富裕,因伊马替尼费用较高,所以在服用药物一段时间后,陈女士就自行停止用药了,而后陈女士因感觉腹部胀痛前往外院进行检查,结果发现其腹腔又长出了一个巨大肿瘤。陈女士一家人赶紧找到高良辉主任,希望“救命恩人”能够再次妙手回春。
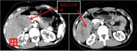
陈女士入院后,肝胆胰外科给她进行了详细的检查,发现陈女士此次病情相较于上次更加严重。肿瘤与多个重要脏器紧密相邻,压迫肝门,侵犯肝脏组织,并且包绕重要血管,治疗难度非常大。考虑到陈女士情况紧急,高良辉主任立即组织了多学科会诊,并根据会诊建议,为患者进行了肿瘤穿刺活检,明确肿瘤性质,以便进一步治疗。
2024年2月23日,在肝胆胰外科不断与病理科沟通及患者家属焦急的等待中,陈女士的病理结果出来了,其肿瘤细胞分型较复杂,符合滤泡树突状细胞肉瘤。

因陈女士病情复杂,治疗难度较大,该院领导对此高度重视。2月28日下午,医院党委徐剑书记主持召开了肝胆胰外科院级MDT(A级)讨论会。这是该院“院领导主持MDT机制”全院A级多学科联合会诊的一次试行,体现了该院对危重症患者救治的重视。
会诊现场,肝胆外科、消化内科、肿瘤内科、介入血管外科、放射科、病理科、超声科和麻醉科等十余个科室的主任或资深专家齐聚一堂,他们以患者为中心,充分发挥各自的专业特长,共同为患者量身打造了科学合理、符合实际的个体化诊疗方案。

讨论后,高良辉主任医师建议:因陈女士肿瘤较大,而且血管丰富,可先行血管介入,栓塞肿瘤供血动脉——肿瘤去血管化治疗,然后再行剖腹探查切除肿瘤,这种治疗方案可以减少术中出血,降低手术难度,提高切除的成功率。
3月5日,肝胆胰外科宋奇锋副主任医师为陈女士施行了腹腔肿瘤血管造影栓塞术。次日,高良辉主任为陈女士进行了剖腹探查+腹部滤泡树突状细胞肉瘤切除+肝6段切除+胆囊切除+粘连松解,术中出血较少,手术耗时3小时15分钟。术后,陈女士很快就康复了。
“海南医学院第一附属医院各科室专家及肝胆胰外科医师,尤其是徐剑书记和高良辉主任,他们医技精湛,医德高尚,以患者为中心,无微不至的服务理念打动了我,治愈了我。他们让我感到像家人一样的亲切。”谈及此次治疗的感受,陈女士说。

据高良辉主任介绍,滤泡树突状细胞肉瘤是起源于滤泡树突细胞的少见低分化恶性肿瘤,发病年龄较广泛,通常以成人为主,最典型的症状是缓慢生长的无痛性肿瘤。同时,发病部位的不同会出现相应的局部症状,确诊的金标准是病理活检。临床上主要以手术切除为主,亦可以采用手术联合辅助化疗的治疗方案,建议早发现、早诊断、早治疗,针对此例患者,该院肝胆胰外科同时采用血管介入及外科手术的方法,为患者切除肿瘤,达到了“手术时间短,术中出血少”,为患者的后续治疗争取了宝贵的时间。
【责任编辑:吴钟旺】
【内容审核:肖 好】
版权声明:国际旅游岛商报全媒体文字、图片、视频、音频等版权作品,欢迎转发,但非经本报书面授权同意,严禁包括但不限于转载或改编、引用等,违者必追究法律责任。