20岁女孩重度食管狭窄!海医一附院多学科协作上演“破局之战”
商报全媒体讯(椰网/海拔新闻记者 孙鑫 通讯员 邓佳列)20岁,本该是青春绽放的年纪,女孩小高(化名)却因一年前误服强化学腐蚀剂,陷入了无法进食的绝望深渊——严重的食管化学性烧灼导致她食管重度狭窄。近日,在海南医科大学第一附属医院(以下简称“海医一附院”)消化内科、介入血管外科、胸外科、普外科等多学科专家团队的精密协作下,一场高难度的微创手术成功实施,为小高重新打开了“生命通道”,让她终于能再次品尝食物的滋味。

绝境中的求救:重度食管狭窄患者求医无门
这场噩梦始于一年前。误服腐蚀剂后,小高的食管遭受严重灼伤,引发重度食管狭窄。长达一年时间里,她在该院消化内科内镜中心多次接受食管狭窄球囊扩张治疗,短暂恢复流质饮食后,食管又会在一段时间后再度狭窄,只能靠反复扩张维持。

今年3月底,小高病情急转直下,连流质食物都无法吞咽,辗转多家医院均未能有效解决,只能依靠静脉营养维系生命。最后,抱着一线希望,她再次回到该院消化内科。
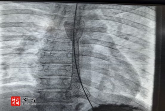
然而,首次胃镜检查就让治疗陷入僵局:食管距离门齿约24cm处显著狭窄,导丝及球囊扩张导管难以通过,常规的内镜扩张治疗面临巨大挑战。面对狭窄段长达10cm的重度食管狭窄,单纯内镜治疗难度极大。
多学科智慧碰撞:定制微创治疗方案
患者无法进食,情绪焦虑,家属也忧心忡忡。消化内科谭琰主任迅速行动,组织科室病例讨论后,果断启动多学科会诊机制。胸外科、介入血管外科、普外科、放射科、麻醉科、营养科、心理科等专家齐聚,围绕患者病情展开深入研讨。经过充分交流,最终确定了内镜及介入联合食管扩张及支架置入术的微创治疗方案,整合内镜的精准观察、介入的巧妙操作,为患者探索治疗新途径。
多学科“兵团作战”:微创技术显成效
4月16日,由消化内科蔡笃雄主任医师、高飞主治医师,介入血管外科孙刚副主任医师、廖勇主治医师,介入导管室林子义技师、谢春花副主任护师等组成的精锐手术团队严阵以待。内镜下,食管狭窄处仅露出一条细小缝隙,手术难度极高。但在X射线透视的精准引导下,手术团队凭借丰富经验和高超技艺,经过多次尝试,终于让导丝成功穿过狭窄段进入胃腔!随后,5mm和8mm扩张球囊逐级撑开狭窄食管,最后顺利置入食道金属支架。造影剂顺利通过食管狭窄段进入胃腔,此次高难度手术取得良好效果。

技术领航,多学科护航康复之路
术后,小高恢复平稳。在营养科的科学指导下,术后第三天,她终于小心翼翼地尝试了术后的第一口流质食物——这是时隔多日后,她再次感受到食物滑过食管的温暖。术后第5天,饮食状况显著改善的小高顺利出院,重新拥抱正常生活。
【责任编辑:谢镇蔚】
【内容审核:吴钟旺】
版权声明:国际旅游岛商报全媒体文字、图片、视频、音频等版权作品,欢迎转发,但非经本报书面授权同意,严禁包括但不限于转载或改编、引用等,违者必追究法律责任。