海南省人民医院提示:谨防户外“隐形杀手”蜱虫
海南气候宜人,吸引着众多游客前来度假。随着生活方式的转变,越来越多的人选择在周末或假期走进大自然中放松身心,享受清新的空气和如画的风景。然而,户外活动虽有益身心,却也潜藏着一些不为人知的危险,尤其是蜱虫等病媒生物带来的威胁,不容忽视。
“立克次体感染”患者案例:
近日,海南省人民医院感染科收治了一名来自海南省东方市的41岁的女性患者吴女士(化名)。患者因“发热9天”入院,入院前到当地医院就诊,考虑为“发热待查、肺部感染”。经抗感染、抗病毒治疗后,病情无好转且持续发展,出现呼吸困难,遂转至海南省人民医院进一步治疗。
是什么样的病原体,导致患者短期内病情急剧恶化,并对多种抗生素治疗无效?
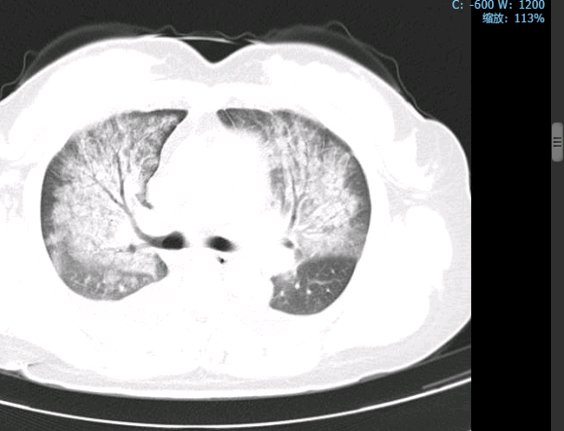
入院急查胸部CT显示:双肺见多发、弥漫性感染性病变,伴实变,累及肺间质,后进行详细查体时发现典型焦痂。

查体发现有焦痂
患者职业为猪场饲养员,长期在山区户外猪场工作,工作环境植被茂密,有较多的草丛和灌木丛,且接触动物频繁。结合其流行病学史、体征及相关实验室检查,临床考虑“立克次体感染、重症肺炎”,立刻给予多西环素联合美罗培南抗感染治疗。

治疗前胸部CT

治疗后胸部CT
2天后实验室结果回报:血液宏基因组测序(mNGS)检出恙虫病东方体,特异性序列34条,置信度高。至此诊断明确,病原体与临床预判相符。经上述方案治疗12天后,复查胸部CT显示肺部病灶明显吸收,患者病情显著改善,最终顺利康复出院。

患者治愈后特地送来锦旗,以表达对医院医护团队的感激之情。

蜱虫是一种小型寄生虫,主要生活在草丛、灌木丛和森林中,它们不仅会叮咬人类,还可能传播多种疾病。今天,我们就来深入了解蜱虫及其带来的风险,并探讨如何有效防护。
蜱虫,别名又称壁虱、扁虱、狗豆子、草爬子,是一种寄生性的节肢动物,蜱虫的危害仅次于蚊子,可以寄生在猫、狗、兔子、老鼠、牛、马、鸟等动物身上,也可以寄生于人体表面。
蜱虫的形状
一般呈红褐色或灰褐色,长卵圆形,背腹扁平,从芝麻粒大到米粒大不等,吸饱血后虫体膨胀如黄豆大小。


蜱虫容易出现的地方?
蜱虫常常生活在户外,草树茂密、灌木丛生的丘陵、山地、森林,是蜱虫的老巢。户外活动时,蜱虫可能会附着在人或宠物身上,人和宠物身上的蜱虫也可以相互传播。
蜱虫可以生存的场所远比我们想象中日常。小区楼下的高一点的草丛、灌木,周末郊游的树林,自家喜欢钻树丛的小狗,都可能与之相遇。

蜱虫喜欢叮咬的部位
蜱虫喜欢温暖、潮湿的身体部位:

蚊子要咬你
先得大声嗡嗡地刷存在感吧
扎你的时候你会疼吧
吸完血
还会留给你一个又痒又红的包
但是
蜱虫却是悄悄对你下手
被蜱虫叮咬,真的不容易发现
跳到你身上和离开你的时候,都悄无声息;
叮咬时,它会释放一种麻醉剂,让你不觉得疼;
留下的伤疤因人而异,可能是形似焦炭的黑色结痂,也可能是一个难以发现的、浅浅的破损;
叮咬部位还大多是头皮、腋窝、腹股沟、大腿根这些隐蔽处。
蜱虫有哪些危害呢?
蜱虫是媒介生物,携带83种病毒、31种细菌、32种原虫,常通过叮咬吸血传播病毒、细菌、寄生虫等病原体使人患病,其中大多数是重要的自然疫源性疾病和人兽共患病;这些蜱媒疾病的严重程度和症状各不相同,可能影响中枢神经系统、心脏、关节和其他器官系统,甚至可能危及生命。


常见的体征是:发热
典型信号:被叮咬后若出现发热(常规青霉素、头孢类抗生素治疗无效)、叮咬处焦痂、红斑持续扩大等症状,务必高度警惕!

虫咬后典型皮损、焦痂
被蜱虫叮咬后
千万不要这样做!
错误的处理方法:拍打、硬捏、死拽、火烧等。
这样很容易折断蜱虫的口器,使之留在皮肤中,还会刺激其分泌出更多唾液,增加感染的可能性。

正确做法:尽快清除蜱虫,降低感染风险
1.用镊子尽可能地贴着皮肤夹住蜱虫(最大程度夹住蜱虫头部);
2.以稳定而均匀的力量向上拉动(类似于拔的动作),注意不要扭转或猛拉蜱虫,可能会导致口器残留。如方便,可先用酒精喷涂在蜱体上,再用尖头镊子取下蜱;
3.用酒精、肥皂水、碘酒清洗伤口;
4.可将蜱虫收到容器或袋子里,以便在需要就医的情况下为医护人员提供参考信息。若不保留,可将蜱虫浸泡在酒精里并冲入下水道(切勿用手指压扁蜱虫,也别用手直接接触蜱虫)。

温馨提示
如果遇到蜱虫叮咬后出现下列情况,为了稳妥起见,应及时就医评估:
1.自己无法有效去除蜱虫或口器残留无法进一步取出;
2.出现不适症状或被咬处的红斑呈持续性扩大;
3.叮咬部位疑似有感染,例如持续疼痛、渗水、化脓。
如果可能,最好是带上蜱虫或蜱虫的照片去看医生。医生会对实际症状、叮咬情况、抽血结果等进行综合评估,如果真有别的感染,通常针对性使用抗菌药物就能治愈。

1. 穿搭 “硬核防护”
穿长袖长裤,选择浅色衣物(便于发现蜱虫),裤脚扎进袜子,领口、袖口收紧;穿戴含有氯菊酯的防虫装备,或在衣物上喷洒专用防虫喷雾。
2. 环境规避法则
避免在草丛、灌木中久坐或躺卧,行走时尽量走在路中央;带宠物郊游后,仔细检查其毛发、耳朵等部位,避免宠物成为“蜱虫搬运工”。
3. 归来“全身安检”
回家后立即洗澡,重点清洗头皮、腋窝、腹股沟等部位;将衣物高温清洗或烘干(蜱虫不耐高温),减少残留风险。


医生提醒:科学认知,不必恐慌但需警惕!
海南的户外风光固然迷人,但与自然亲密接触时,务必将“防虫意识”刻入行程。蜱虫叮咬的危害虽大,但只要掌握正确的防护与处理方法,就能大大降低风险。若不幸被叮咬,记住“早发现、早处理、早就医”是关键——别让一场美好的海南之旅,因“小虫子”而留下健康隐患。
(原标题:医心医意 | 谨防户外“隐形杀手”蜱虫,你必须知道的真相!)
【责任编辑:黄奕宏】
【内容审核:李彦昆】